経胸壁心エコー
Mモード大動脈弁レベル
9月1日(水)21時~

・大動脈弁基部を切る線で記録する
弁輪部にMモードのビームを合わせると、収縮期に右にずれてしまうのでややバルサルバ側に合わせる。
・腔に対して断面は垂直に入っているか?
・右室と大動脈と左房の大きさの関係は1:1:1
・大動脈弁の解放時に平行四辺形の線として描かれているか?box formation
・大動脈弁の開放径は1㎝以上あるか?1㎝未満だと弁の開放に障害がある。
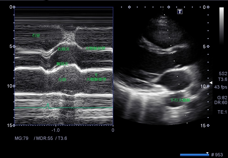
①

Mモードの線が大動脈や左房の垂直に入ってないので少しプローブを右に倒す。
一肋間上からの描出を試してみる。
Mモードの大動脈前壁と大動脈後壁の動きが平行ではない
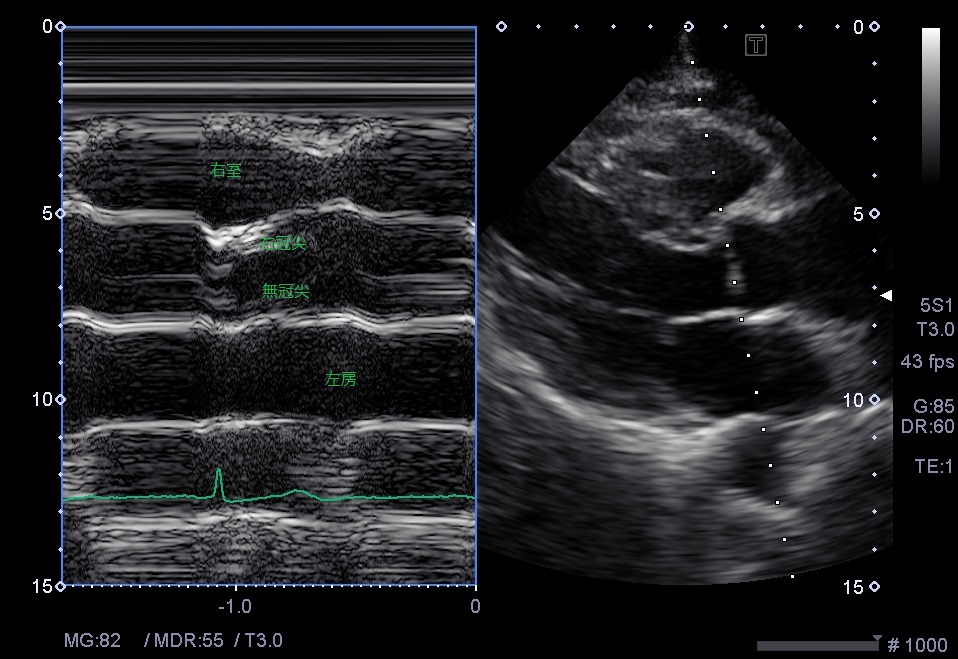
②

右室と左房がやや大きく見える。
右心系が大きく見えるときは、若い人・甲状腺機能更新・妊娠・先天性心疾患etc
下大静脈の拡張がないか、呼吸性変動があるか確認する。
TRがどれくらいか確認する。
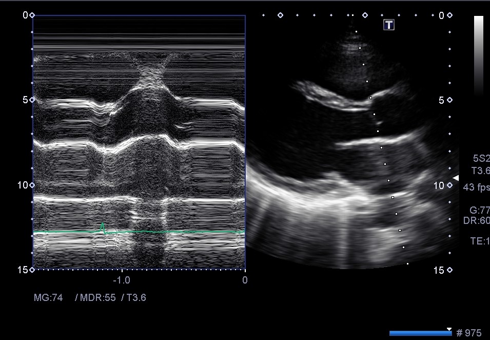
③

Bモードが綺麗に描出されている。
Mモードのラインがやや斜めなので、プローブを少し胸骨に近づけてみる。
④

大動脈前壁と後壁が平行になっていない。
大動脈と左室に角度があるため、もう一肋間上から描出してみる
⑤

Bモードで左房が描出できてないので、Mモードの計測で左房径が小さくなる。
⑥

AOとLAにMモードのラインが垂直に入っていない。
質問🙋♀️大動脈前壁と後壁が平行になってないのは、斜めにビームが入ってるからですか?
🍀🍀先生からの補足🍀🍀
やはり、ビームが斜めに入ってると平行には表示されない。
Aoはあまり正確に測れなくても問題はない。ただ、マルファンのようにバルサルバに瘤を作るとかの場合は。弁輪部、バルサルバ、STJの直径が書かれていると説得力が増す。
LAは幅が40までが正常ですが、幅が増す場合と縦に長くなり拡大する場合があります。Mモードではその違いが分からない。Bモードの4ch viewで観た時LAが大きく感じた場合は、容積を測る必要があります。
MRがII°以上あって、LAが40㎜以下の場合は是非容積を測るべし。測った数字に騙されて、正常と書くような事が無い様に。LAが42㎜以上あって、afで無い場合も測るべし。実際大きくは無いのかもですよ。
afでもないのに、LV in flowで、A波が無いなんて時も、LA圧上昇があっても右心系の拡大や、LA拡大があります。普通にMモードだけでLAの大きさを判断するのは危ない。
勿論、容積も3回測って平均しなきゃ
勇気ある報告になるとは思いませんか?
綺麗に記録されたMモードは動きについても多大な情報を提供し得る。
必須なのは、速さではなく正確さだ。
LAが大きいと、4ch viewは卵のようではない。坐りのよいオブジェのようです。
心エコーは数字で報告書を書くので、計測が1番大切なような気がする人は多い。
しかし、BモードとMモードで見た絵をどう感じるかが1番大切だと思っています。
自分の印象が計測してみてピッタリくるかどうかが大切で、何故ここが広くなったか?
とか何故ここの血流が早いのか?を色々計測して解き明かす。
それを胸写や心音でも確認し得る場合も少なくない。
BとMは大切なんです。
🍀🍀🍀ありがとうございました🍀🍀🍀
【大動脈弁輪拡張症】AAE
上行大動脈の拡大により大動脈弁輪が拡張し、大動脈閉鎖不全を起こしている状態です。
先天的に動脈壁が弱く拡張傾向にあるマルファン症候群の場合に見られることが多いが独立して見られることもある。
・大動脈閉鎖不全による心不全。
・拡張しているほど破裂のリスクは高く、55㎜を超える場合は手術を考える。
【マルファン症候群】指定難病167
常染色体優勢遺伝疾患で結合組織などに障害があるため、全身のあらゆる臓器・系統に障害が現れる疾患です。主に心臓・血管・骨格(四肢が長くなり漏斗胸や側弯症を起こす)・眼(水晶体のずれ)・肺(気胸)・皮膚などに影響が生じます。
大動脈の壁は、内膜・中膜・外膜の三枚の膜でできていて、マルファン症候群では中膜の結合組織が弱くなるそうです(中膜壊死)
心臓の大動脈弁の周りは少し膨らんでいて(バルサルバ洞)そのすぐ上から左右の冠動脈が分枝しています。この大動脈基部がマルファン症候群の方では拡張することが多く、拡張すると大動脈弁の周りが拡大して(AAE)大動脈弁が閉鎖不全となります。また破裂や解離を起こしやすく注意が必要です。
次回は9月15日(水)
Mモード僧房弁レベルです。
写真の提出よろしくお願いします(•ᵕᴗᵕ•)
勉強会で使用している教科書はこちら⇩
[http://心臓超音波テキスト 第3版]
超音波検査(エコー検査) - らぴゅたった (rapyutatta.me)