急性巣状細菌性腎炎(AFBN)Acute focal bacterial nephritis は
膿瘍形成を伴わない腎実質の炎症性疾患です。
動画の症例はインフルエンザが流行っている時期に発熱で来院
不明熱でエコー検査依頼。
30代 女性
インフルエンザの検査が陰性とはいえ、密室で10分も一緒なのは不安な私w💦🥺本当はインフルエンザじゃないのー??と思いながら……
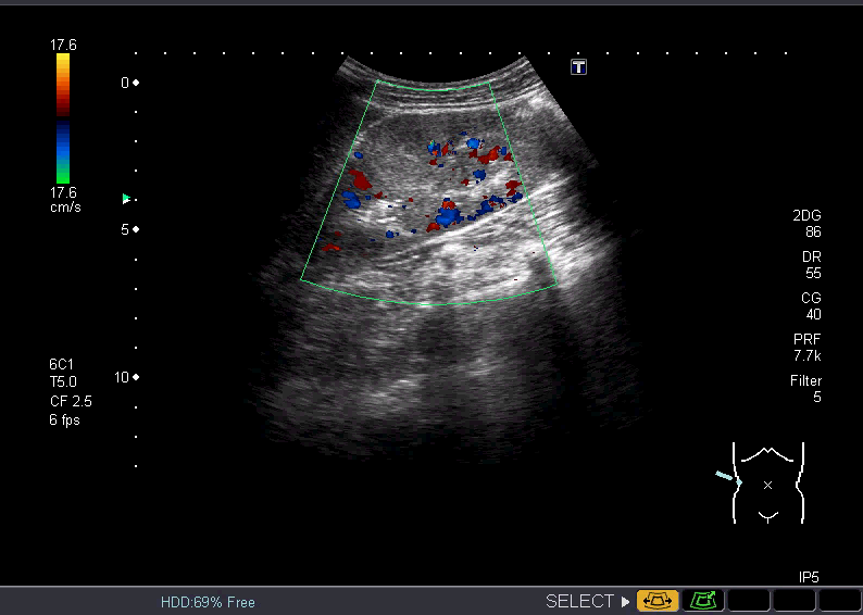
特に熱の原因はわからないまま、右腎の皮質中央に高エコーの腫瘤を発見
⇓画像になります。
採血では、白血球・CRP 高値。尿検査:異常なし。
高周波プローブでも描出可能な深さだったので、リニアプローブに持ち替えてみました
何となく輪郭がわかる程度…w
腎から少し突出してないとわかりにくいですね💦
【急性巣状細菌性腎炎(AFBN】
AFBNは液状化を伴わない腫瘤性病変で、腎盂腎炎から腎膿瘍の前段階と言われています。小児の不明熱の原因のひとつでもあります。
腎実質に巣状に細菌感染を生じ、まだ膿瘍化(液化)していない状態
腎盂腎炎➝AFBN➝腎膿瘍といった経過をたどるようです。
腎盂腎炎からではなく、血行性に細菌感染を起こして発症することもある。
尿中白血球の増加や尿培陽性は少ない:尿所見の乏しい
エコーでは腎実質内に高エコー腫瘤として描出されカラードプラにて無血管領域として描出される
病気を知っていたら、このエコー画像を見たら疑うことができますが、知らないと ただ腎臓に高エコー腫瘤がある?で検査終了してしまうかもです💦
エコーの画像はある程度は誰にでも描出できますが、知識があるか ないかによって、画像の取り方、所見の書き方が大きく変わってきますので、知っていると診断に結びつくような症例は勉強しておきたいですね🍀
造影CTでは 病変部位は low density area として見られる
※CT所見の違い
腎盂腎炎:造影早期(動脈相優位あるいは皮質相)に巣状の造影低下域を認めることがあるが、造影後期(平衡相)では周囲正常腎実質部と同様に造影される
AFBN:巣状造影低下域は平衡相まで続くが、造影効果は完全には消失しないで残存する。
腎膿瘍:病巣の一部にすべての相でまったく造影効果を示さない(液化のため)
低吸収の部分が存在する。同部は単純CTでも正常腎実質部より低吸収のことが多い。

不明熱に依頼時には腎臓の炎症性疾患の除外を✨