皆さんの施設では穿刺時にエコー(超音波)を使用してますか?私の施設ではDrにより最初からエコーを準備して始める時と、フリーハンドで困難なときに急遽エコーを使用するときがあります☺
数回失敗後にエコーで呼ばれたときは、傷や麻酔や穿刺後の血管損傷などで画像の描出が不鮮明になってしまうので正直、最初から呼んで欲しい…と心の中で思ってます笑
・確実な穿刺のために
安定した画像を描出する技術が必要です
超音波検査をしている人に画像を出してもらいましょう。
自分で描出するのもいいですが、もっといい画像が見えるかもしれません笑
エコー機械の位置、画面に背を向けてないか、患者と穿刺施行者の位置関係に無理な体制はないか等、自分が実施しやすいような環境でしましょう。
よく、エコー画像を描出する人がDrに遠慮して首が痛くなるような体制で実施している人を見かけますが、適した画像を描出し施行者へのアドバイザーにならなければなりません。ただ描出するだけではなく、周辺の組織との位置関係、深さなど穿刺施行者へできるだけ多くの情報を提供できるようにリアルタイムで画像をみたり機械を操作できる位置で臨みましょう。
・局所麻酔時の注意
決して空気を注入しないこと。その後の穿刺が困難になります。
超音波(エコー検査)では空気が白い画像で描出され、下にある目標物が見えなくなります。麻酔時にDrに空気を入れないように伝えてください。よく、麻酔追加時に勢い余って空気まで注入することがあります笑
麻酔液と入れると皮膚に厚みができ目標物までの距離が遠くなります。画像の鮮明度もやや落ちて見えにくくなります。また目標物が静脈のときは麻酔で肥厚した周囲組織により、静脈が圧排され つぶれ、穿刺が難しくなることもあるので注意してください。
・穿刺針は次第に曲がる
穿刺針の先端は斜めにカットされており、刺入時には針先端に切断面と反対方向に直行するベクトルが作用し、針は次第に屈曲し目標からずれます。
先端のカット方向を走査面と並行にして穿刺すると針が走査面外にずれて針先端が途中で画面より消える。針先端のカット方向がプローブの走査方向と直行する向きで穿刺することを注意してください
目標が深ければ曲がりやすく、アタッチメントをつけているにも関わらずエコー画像に穿刺針が描出されないなどプチ事件に発展します笑。肝穿刺時などでみられます。
【中心静脈穿刺】
内頸静脈は深く刺しすぎると鎖骨下動脈や肺が存在し危険です。針の長さを確認して刺す前にどれくらいまで刺しても大丈夫かを想像してください。また内側に向けて刺さないこと。甲状腺動脈などに刺さります。
先にエコーで見といて!マジックで印つけといて!と言われても➝首の角度が変われば血管の走行も変わるので危険です。
静脈が虚脱してる時は、足元をあげたり頭の位置を下げたり、傾かせたりして理想的な大きさの静脈になるか検討してみましょう。

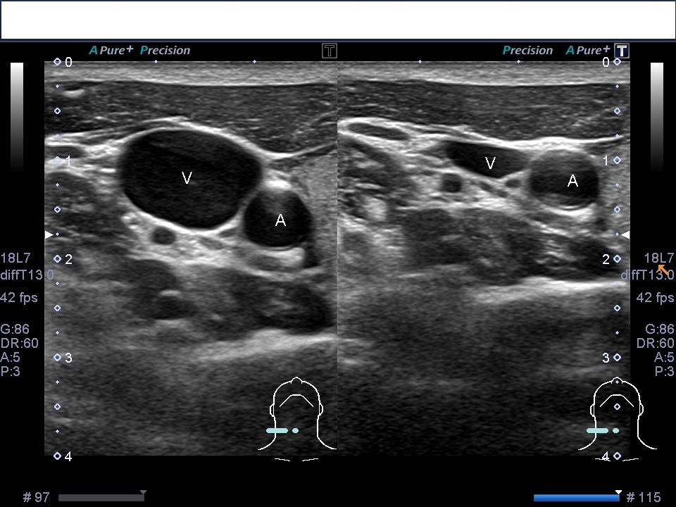
頸部の右内頸静脈と総頚動脈のエコー画像にです。血管はエコーでは黒く映ります。
内側に動脈や甲状腺がみえます。画像を見れば内側に針が向かっていく危険性がわかりますね。

右はプローブを押さえた時の画像です。浅い位置にある静脈は少しの圧排で変形します。ドプラ画像が使えないときは圧排することによって静脈を確認できます。
血管の位置と周りの組織の位置を確認してから、麻酔、穿刺になります。
短軸穿刺では針を追うことが難しく、長軸穿刺では狭い走査線内で針を見なければいけません。できるだけ小型のプローブを使用し長軸走査で針全体を確認しながら穿刺するのがいいと思います。

縦に走査した時の血管の見え方です。静脈の下に動脈が描出されてます。このようなコースでは静脈を貫通した時に動脈の刺さって危険なので、できるだけ動脈が描出されてないコースを探します。なかなか理想的に行かないんですけどね。
【長軸穿刺】

こんにゃくを使用した練習穿刺です。こんにゃくの種類でエコー画像が違います。内部が粗くとても見にくいこんにゃくもあるので購入時に数種類検討してみてください。
空気や液体を注入してどのような画像になるか見たり、針の角度がどれくらいで刺すとどこの深さになるのか、自分には縦走査の穿刺が向いてるのか、横走査の穿刺が向いてるのか等、再確認できます。
長軸穿刺ではプロ―ブの中心がエコーでの画像描出部位になるので、黒の点線上に針が通るような向きで穿刺すると画像に穿刺針が映ります。穿刺位置は中央なのに向きが中心上を通ってないと画像で見ることはできません。
また、プローブを持つ人は、プローブが徐々にずれないように、患者と持ち手の一部をくっつけておくといいです。私は小指をくっつけてます。こんにゃくもよく滑るので同じ位置での固定は難しいです笑

プローブのすぐ近くから穿刺してしまうと、針で皮膚の表面が押され、穿刺時にエコーの画像が押された皮膚の部分だけ見れなくなります。少し離した位置で穿刺するとエコー画像は欠如しなくて済みます。
穿刺時、静脈の前壁 が押されたように見え静脈は変形します。針が前壁を貫くと形状が戻るので血管内に入ったのがわかります。

GWを挿入するとき、針先と後壁との間に距離が必要でGWが後壁に当たり挿入しにくい時があります。穿刺針をほんの少し引いて持ち上げるようにすると挿入しやすくなります。
慣れるまで、長軸穿刺のほうが確実な印象があります。
短軸穿刺では、針の先端を探すのが難しく、プローブの直下の標的との位置関係での穿刺角度などに熟練した技術が必要になってきます。
自分でプローブを持って穿刺する時は目標との位置関係が把握できるので失敗は減ると思います☺