小腸イレウスと腸閉塞。エコーではパッと見、小腸が拡張している画像が得られます。
腸閉塞の場合、原因の閉塞起点を探すのは難しいですよね💦
イレウスとは腸管麻痺によって蠕動が低下する状態で機械的閉塞がない場合をいいます。
最も多い原因は腹腔内の炎症で、ショックやストレス、腸管の血流障害による一時的な虚血などでも起こります。
腸閉塞は腸管内腔が閉塞する状態で、機械的・物理的に閉塞した場合をいいます。
最も多い原因は開腹術後の癒着 で、腫瘍による閉塞や、腸捻転などで腸管が閉塞した状態をいいます。
・単純性(閉塞性)腸閉塞
腫瘍による閉塞
術後の癒着による閉塞
・複雑性(絞扼性)腸閉塞
上腸間膜動脈による十二指腸の閉塞
腸重積・ヘルニア嵌頓・小腸係蹄・索状物による絞扼
係蹄➝けいてい。小腸の輪のなかに小腸が入って縛られてしまう。
絞扼➝こうやく。圧迫やしめつけること。
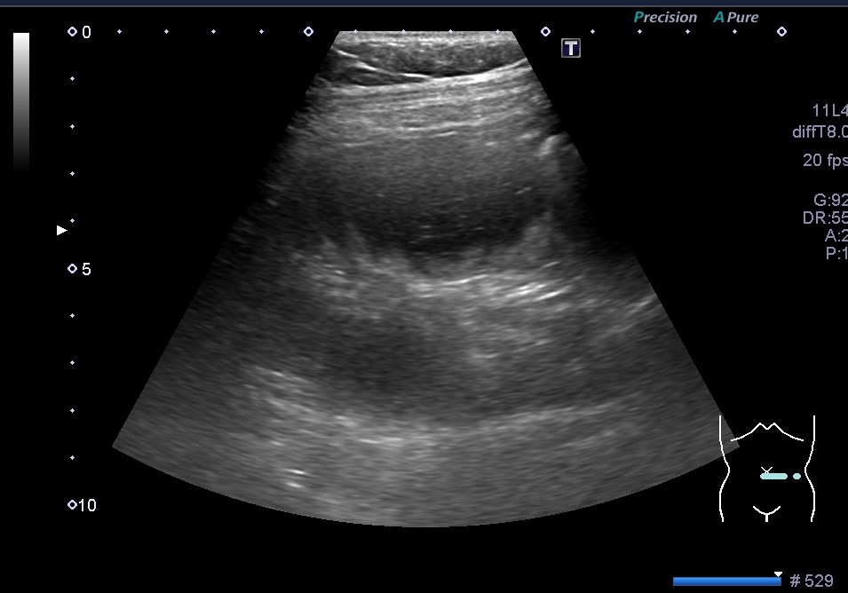
教科書にはいつも立派な小腸拡張の写真が掲載されていて、実際の検査でもプローブを当てた瞬間にわかる所見と思っていますが、ふくよかな方やガスが多い時などはやや見えにくいようです。今回は経験年数が少ない人が見落としてた所見の動画になります⇩
腸管の中のエアーは仰向けで検査すると、重力の関係で腹側にみられプローブを当ててる方向にガスがあり、後方がやや見えにくくなってきます。色んな方向からプローブを当てるとガスを避け拡張した小腸が見えてきます。
機械の性能と患者さんの体質によって教科書みたいな画像が得られず、ややぼんやり曇ったような画像になってきますね💦
「見よう!」と思わなくてもプローブを当てた瞬間にわかる腸管の拡張像も多いですが、今回は少しだけ原因を探す気持ちになって描出しないとですかね。
回盲部より約70㎝の小腸内に黒色の固形物があり、それが閉塞の原因とのことでした。
一冊あると便利な消化管エコーの本です⇩基本的なことから丁寧に載ってます(。•ᴗ•。)
「Medical Technology」別冊 超音波エキスパート 14 消化管エコーUPDATE スキルアップをめざして

超音波検査(エコー検査) - らぴゅたった (rapyutatta.me)